Babesioza la câine: diagnostic rapid și tratament eficient

Babesioza la câine: diagnostic rapid și tratament eficient

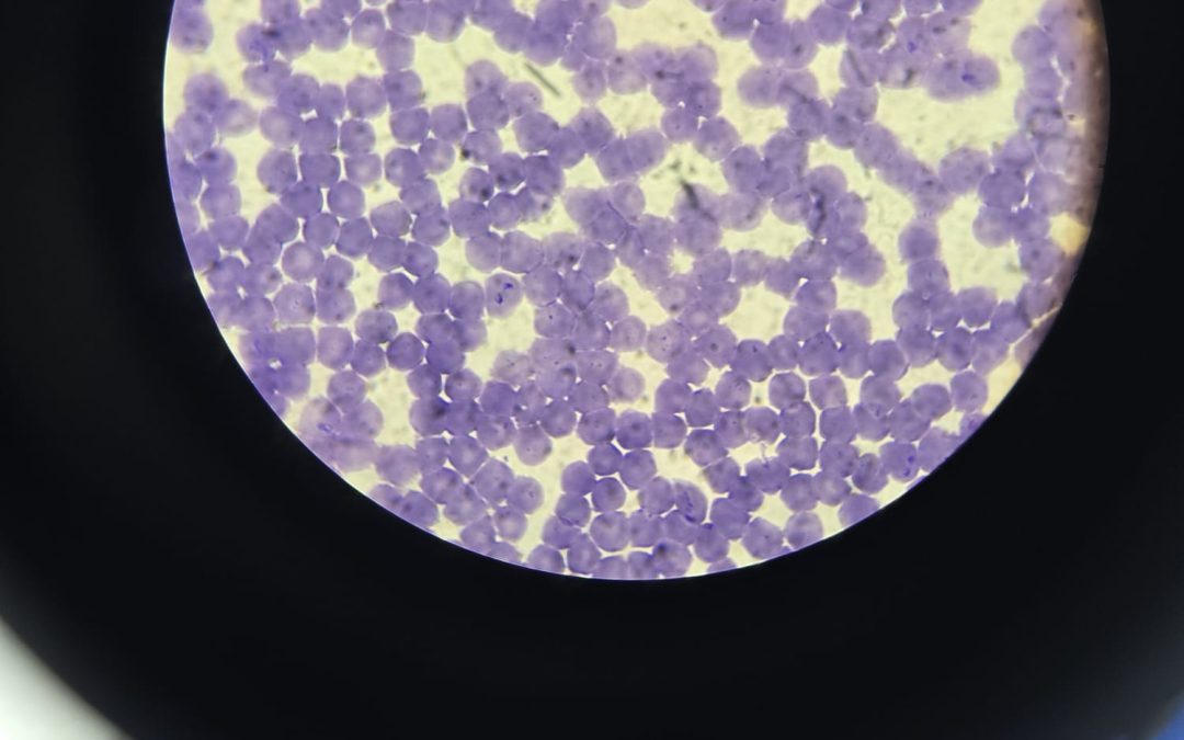
Ce este babesioza? Babesioza canină este o afecțiune parazitară hemolitică, transmisă vectorial, caracterizată prin invazia și distrugerea eritrocitelor de către protozoare din genul Babesia. Boala are o importanță clinică majoră datorită evoluției potențial acute și...
Necesarul cățelușului dumneavoastră

Necesarul cățelușului dumneavoastră

Tocmai ați primit o pufoșenie în familia dumneavoastră? Felicitări! 🙂 Știm câtă fericire aduce un nou membru de familie pufos, indiferent că aveți deja mai mulți patrupezi sau că sunteți părinte de cățel pentru prima oară. Vreți să îi asigurați cel mai bun start în...
Cele mai importante sfaturi pentru a avea un patruped sănătos

Cele mai importante sfaturi pentru a avea un patruped sănătos

Bună ziua. Clinica SAL-VET? Vă rog să mă ajutați, am o urgență. Cam așa a început fiecare zi, în ultimele săptămâni. Ultima perioadă a schimbat multe lucruri în viețile noastre, ale tuturor. Însă un lucru nu s-a schimbat: noi suntem aici, pentru pacienții noștri. De...
Ce trebuie să știe proprietarii de animale de companie despre COVID-19

Ce trebuie să știe proprietarii de animale de companie despre COVID-19

Noul virus, descoperit în decembrie 2019, și denumit ulterior, oficial, SARS-CoV-2 (Severe Acute Respiratory Syndrome Coronavirus-2) poate determina o varietate de simptome, precum tuse seacă, dificultăți în respirație, durere în gât, secreții nazale, febră, cefalee,...